¿Por que elegir 4 Digital?
Laboratorio con la mejor tecnología propia.
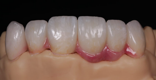
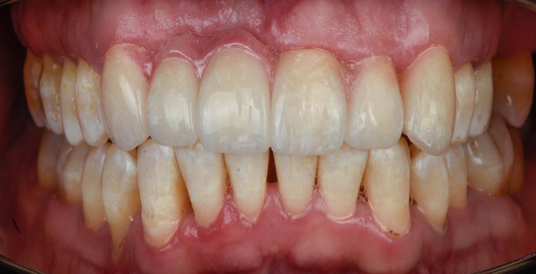
Carillas el mismo día.
Impresión o escaneo digital.
Tomografo.
Todo en el mismo lugar
Laboratorio con la mejor tecnología propia.
Carillas el mismo día.
Impresión o escaneo digital.
Tomografo.
Todo en el mismo lugar
En Cuatro Digital, somos un Laboratorio y Centro de Fresado Dental comprometido con la calidad y la innovación. Trabajamos con tecnología de vanguardia para brindar a clínicas y laboratorios dentales un servicio de excelencia, asegurando resultados precisos y personalizados. Si tienes algún proyecto en el que podamos apoyarte, no dudes en contactarnos. Además, si no estás en Chihuahua, ¡no te preocupes! Realizamos envíos a todo el país. Envíanos tus fotografías y déjanos ser parte de tus soluciones dentales.


Ser el laboratorio y centro de fresado dental líder en México, reconocido por nuestra tecnología de vanguardia, precisión en cada trabajo y excelencia en el servicio, estableciendo un estándar de calidad que transforme la industria dental.

Proporcionar a clínicas y laboratorios dentales soluciones innovadoras y personalizadas, utilizando tecnología avanzada y materiales de alta calidad, para garantizar rehabilitaciones dentales funcionales, estéticas y duraderas, siempre comprometidos con la satisfacción de nuestros clientes.

En Cuatro Digital, somos un Laboratorio y Centro de Fresado Dental comprometido con la calidad y la innovación. Trabajamos con tecnología de vanguardia para brindar a clínicas y laboratorios dentales un servicio de excelencia, asegurando resultados precisos y personalizados. Si tienes algún proyecto en el que podamos apoyarte, no dudes en contactarnos. Además, si no estás en Chihuahua, ¡no te preocupes! Realizamos envíos a todo el país. Envíanos tus fotografías y déjanos ser parte de tus soluciones dentales.